 
                    WIJ VERWACHTEN EIND SEPTEMBER KITTENS VAN
AMY & VINCH
OP ALLE KITTENS ZIT EEN OPTIE
Volg hier de Zwangerschap van Amy
Stamboom toekomstige kittens: https://pawpeds.com/db/?a=p&ids=3:1319615;2:1282202&g=4&p=bri&o=ajgrep
Heeft u interesse in deze lieven en mooie combinatie lees dan eerst de informatie aanschaf informatie kittens door en stuur ons een uitgebreide mail.
 
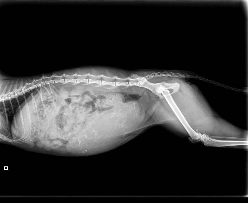
                    25-09-2017 65 dagen
Foto 22: 61 tot 65 dagen
Foetus bevindt zich in eindstadium in baarmoeder vanaf dag 59, vanaf deze dag zijn ze ook levensvatbaar met volgroeide organen, mocht moederpoes van ze bevallen. Voor deze dag hebben ze medische hulp nodig om te overleven. Ongeveer 12 tot 24 uur voor de bevalling daalt lichaamstemperatuur van aanstaande moederpoes.
 
                    20-09-2017 60 dagen
Foto 21: 48 tot 60 dagen
Vanaf dag 58/59 zijn de organen van de foetus zo ver ontwikkeld dat het levensvatbaar zou moeten zijn. Een normale bevalling vindt plaats tussen dag 59 en 69 na de bevruchting.
 
                    11-09-2017 51 dagen
Vandaag foto laten maken Amy verwacht 5 kittens we zijn ontzettend blij want alles zag er goed uit. Nu wachten tot het zover is, altijd weer heel spannend.
 
                    08-09-2017 48 dagen
Op foto 20 is de foetus 44 tot 48 dagen
65 tot 12,5 mm groot. De haartjes beginnen te groeien, de foetus is nu bedekt door een fluweelachtig laagje. Vaak begint ook het pigment zichtbaar te worden.
 
                    04-09-2017 44 dagen
Op foto 19 is de foetus 38 tot 44 dagen
50 tot 80 mm groot. De huid ontwikkelt zich, deze wordt dikker en begint te rimpelen. De oren worden groter en het staartje langer. Het binnenoor is gevormd maar bestaat nog uit kraakbeen. Ook de longblaasjes ontwikkelen zich en de hypofyse wordt gelobt. In de darmen groeien darmvlokken, de oogleden zijn nu volledig aanwezig en gesloten.
31-08-2017
We zitten inmiddels al weer bijna op 6 weken zwangerschap, Amy heeft een mooi buikje. Ze kunt het nu echt al zien. Verder eet ze goed en geniet van alle extra aandacht (zoals heerlijk slapen op ons bed).
 
                     
                    29-08-2017 38 dagen
Foto 18: De foetus is nu 32 tot 38 dagen
In ontwikkeling en tussen de 35 en 60 mm lang. Het hoofd blijft relatief groot, de huid ligt glad aan, maar er zijn nog geen haren ontstaan. De uitwendige genitaliën ontstaan en er ontwikkelen zich nagels aan de tenen. Het oog ontwikkelt verder, oa de iris ontstaat.
 
                    25-08-2017 34 dagen
Amy bijna 5 weken zwanger van Vinch, ze heeft al een klein zichtbaar buikje!
 
                    23-08-2017 32 dagen
Ontwikkeling Foetus 28 tot 32 dagen (4 1/2 week zwanger).
De foetus is nu 28 tot 32 dagen oud, foto 17, en 25 tot 50 mm lang. De groei gaat nu snel en alle 'onderdelen' bevinden zich op de juiste positie. Over de ogen groeit een ooglid, er zijn driehoekige oortjes zichtbaar, het binnenoor ontwikkelt zich (zoals het trommelvlies) zodat het dier later kan horen. De foetus begint nu echt op een poesje te lijken en de verbening van de onderdelen, die eerder uit kraakbeen bestonden, gaat door. De bronchiën ontwikkelen zich steeds verder en bij vrouwelijke foetussen ontstaat de baarmoeder. Ook vormt de blaas zich in dit stadium.
 
                    
19-08-2017 28 dagen
Ontwikkeling Foetus 25 tot 28 dagen (4 weken zwanger)
Op foto 16 is het embryo 25 to 28 dagen oud, 21 tot 40 mm groot. In dit stadium is het embryo al bijna compleet en spreken we eerder over een foetus. Alles ontwikkelt zich nog steeds verder zoals het kopje, de wangen, kin, tanden (verborgen in de kaak), neus, mond, enz. Het gebied waar de navel komt wordt gereduceerd, het buikvlies, longvlies en middenrif ontstaan. De handwortelbeentjes, tenen en ribben zijn nog steeds kraakbeenachtig maar beginnen langzaam te verkalken.
 
                    16-08-2017 25 dagen
Ontwikkeling Foetus 23 tot 25 dagen (3 1/2 week zwanger)
Op foto 15 is het embryo 23 tot 25 dagen oud. De tenen van de voorpoten beginnen zich nu geheel te onderscheiden. De achterpoten lopen altijd iets achter in ontwikkeling, maar ook hier beginnen zich de tenen te ontwikkelen maar deze zijn nog niet van elkaar gescheiden. De nieren, bijnieren en het geslachtsorgaan ontwikkelen zich verder. In de primitieve ruggengraat is nu een grijze (voornamelijk zenuwcellen) en witte massa (zenuwvezels, myeline) te onderscheiden welke omgeven is door een vlies. De witte massa omkleedt de grijze massa in de ruggengraat. Zenuwuitlopers en zenuwknopen (ganglia) ontwikkelen zich. In de kop ontwikkelen de speekselklieren, kaken, verhemelte en tong. In de hersenen ontstaat de hypofyse (belangrijk orgaan wat hormonen produceert).
 
                    14-08-2017 23 dagen
Ontwikkeling Foetus 21 tot 23 dagen (3 weken zwanger)
Op foto 14 is het kitten 21 tot 23 dagen in ontwikkeling. De bovenlip, de oorschelpen en de oogleden beginnen zich nu te vormen. Aan het einde van de poten zijn nu tenen te onderscheiden en de genitaliën ontwikkelen zich verder. Binnen in beginnen zich het scelet (nog kraakbeen) en spieren zich te differentiëren, ook worden de ribben gevormd. De bek ontwikkelt zich, ook te tong en verhemelte. De schildklier en bijschildklier ontwikkelen zich verder en ook het hart en zwezerik (ligt in de borstkas tussen het hart en borstbeen). Ook de thymus wordt gevormd, deze is verantwoordelijk voor het produceren van T-cellen, welke te maken hebben met de functie van het immuunsysteem. Het embryo is nu 13 tot 30 mm.
 
                    12-08-2017 21 dagen
Ontwikkeling Foetus 19 tot 21 dagen (3 weken zwanger)
Op foto 13 is het kitten 19 tot 21 dagen in ontwikkeling sinds de bevruchting (27-12-2015) De gehoorgangen en de voorpoten zijn al ontwikkeld zoals bij een volwassen kat en zijn voorzien van een inwendig skelet. De achterpoten zijn nog aanhangsels en het oog vormt al pigment. Inwendig vormen zich aderen voor de bloedsomloop en ook al zenuwen. Ook het strottenhoofd, bronchiën en longen beginnen zichtbaar te worden. De primitieve ruggengraat loopt door tot in de staart, aan de rugzijde vormen zich wervels. Ook de slokdarm, maag en darmen worden in dit stadium gevormd. Ook de organen zoals schildklier, nieren en lever worden aangelegd. Het embryo is nu tussen de 10 en 24 mm lang.
Vooral in dit stadium is het embryo zeer ontvankelijk voor schadelijke stoffen, middelen tegen schimmels of de moeder laten inenten met levende entstof kunnen dodelijk zijn voor het embryo. Ook het gebruik van antibiotica dient zeer zorgvuldig overwogen te worden.
In dit stadium begint de moederpoes haar zwangerschap te tonen. De tepeltjes kleuren meestal roze en zetten een beetje op. Als ze een meerling draagt begint ze duidelijk al iets voller te worden en zijn vaak de vruchtjes te onderscheiden als je voorzichtig in haar buik voelt.
 
                    22-07-2017
British Amy (Blauw ticked) is op 22 juli 2017 op date geweest bij IC Vinch van de Nijehoeve (Blauw/Wit)
Vince heeft bloedgroep B en is drager van langhaar en draagt de kleur Chocolade. Amy heeft bloedgroep A/b en draagt de kleur Chocolade. Hierdoor verwachten wij de volgende kleurcombinatie:
Verwachte kleuren: Blauw, Blauw/wit, Lilac en Lilac/wit alle kitten zullen korthaar hebben maar kunnen wel langhaar dragen.
